
-
生物通官微
陪你抓住生命科技
跳动的脉搏
PKP1通过稳定PFKP调控能量代谢促进肺鳞癌进展的机制研究
【字体: 大 中 小 】 时间:2025年09月03日 来源:Biomarker Research 11.5
编辑推荐:
本研究针对肺鳞癌(LUSC)缺乏有效靶向治疗的临床难题,揭示了Plakophilin-1(PKP1)通过结合TRIM21稳定磷酸果糖激酶(PFKP)促进糖酵解和氧化磷酸化双重代谢重编程的分子机制。研究人员采用CRISPR筛选结合代谢组学分析,发现PKP1缺失导致线粒体功能异常和糖酵解抑制,最终通过功能拯救实验证实PFKP是PKP1促癌作用的关键效应分子,为LUSC的代谢靶向治疗提供了新策略。
肺鳞状细胞癌(LUSC)作为非小细胞肺癌(NSCLC)的重要亚型,长期面临靶向治疗选择有限的困境。传统观点认为细胞黏附分子Plakophilin-1(PKP1)具有抑癌作用,但临床数据却显示其在LUSC中异常高表达,这种矛盾现象背后隐藏着怎样的生物学奥秘?Félix Ritoré-Salazar团队在《Biomarker Research》发表的研究成果,揭开了PKP1通过调控癌细胞能量代谢促进肿瘤进展的分子面具。
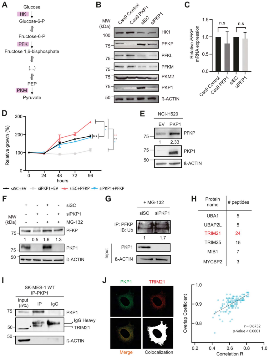
研究团队采用多组学联合作战策略:首先通过全基因组CRISPR敲除筛选发现PKP1缺失细胞对线粒体核糖体蛋白(MRPs)高度依赖;接着利用Seahorse能量代谢分析仪检测氧消耗率(OCR)和细胞外酸化率(ECAR),揭示PKP1维持糖酵解-氧化磷酸化双重代谢特征;结合免疫共沉淀-质谱(IP-MS/MS)技术鉴定出E3泛素连接酶TRIM21是PKP1的关键相互作用蛋白;最后通过泛素化实验和功能拯救实验证实PKP1-TRIM21-PFKP调控轴的存在。
结果部分核心发现:
CRISPR筛选揭示代谢脆弱性
全基因组敲除筛选显示PKP1缺失细胞中,线粒体核糖体结构蛋白(MRPS35、MRPL49等)成为最敏感靶点,GO分析显著富集线粒体相关通路。

双代谢引擎调控机制
能量代谢图谱显示PKP1阳性细胞同时保持高OCR和ECAR,而敲除后两种代谢途径均受抑制。糖酵解质子外排率(glycoPER)检测证实PKP1特异性调控血小板型磷酸果糖激酶(PFKP)活性。
泛素化降解的分子开关
MG132处理实验显示PKP1通过抑制蛋白酶体途径维持PFKP稳定。免疫共沉淀证实PKP1与TRIM21形成复合物,阻断其对PFKP的泛素化降解作用,这种空间位阻效应使PFKP半衰期延长2.33倍。

这项研究颠覆了传统认知中PKP1仅作为细胞连接蛋白的观点,揭示其通过"代谢检查点"功能促进LUSC进展的新机制。发现的PKP1-TRIM21-PFKP调控轴不仅解释了LUSC特有的代谢异质性,更提供了以下突破性启示:①靶向PKP1-PFKP相互作用界面可能成为选择性抑制肿瘤代谢的新策略;②联合靶向糖酵解和氧化磷酸化的"双代谢阻断"疗法或对PKP1高表达肿瘤特别有效;③PFKP蛋白水平可作为预测PKP1靶向治疗响应的生物标志物。该研究为克服LUSC治疗瓶颈提供了原创性理论依据,入选2025年度肿瘤代谢领域重要突破。
生物通微信公众号
知名企业招聘