
-
生物通官微
陪你抓住生命科技
跳动的脉搏
微管束缚的VrMC5通过钙依赖性自激活调控葡萄藤超敏反应细胞死亡机制
【字体: 大 中 小 】 时间:2025年07月31日 来源:Plant Cell Reports 4.5
编辑推荐:
本研究针对植物免疫中微管骨架与细胞死亡调控的分子机制这一关键科学问题,通过构建Vitis rupestris metacaspase 5(VrMC5)的GFP融合蛋白及其突变体,结合烟草BY-2细胞模型和体外酶活实验,首次揭示了微管结合型II类metacaspase在钙信号触发下通过自激活途径调控超敏反应(HR)的新机制。研究发现VrMC5通过保守的微管结合域锚定在核周微管上,在病原激发子cis-3-hexenal或harpin诱导下,通过Cys139和Arg226位点介导的钙依赖性自激活,触发SA信号通路相关基因表达和程序性细胞死亡。该研究为植物免疫中细胞骨架与防御信号交叉调控提供了直接证据,发表于《Plant Cell Reports》。
在植物与病原体的军备竞赛中,超敏反应(Hypersensitive Response, HR)犹如细胞的"自杀式防御"——通过局部细胞死亡阻止病原体扩散。这种程序性细胞死亡(Programmed Cell Death, PCD)机制与动物凋亡看似相似却大相径庭,其中最关键的差异在于:植物使用metacaspase而非caspase作为死亡执行者。然而,这些植物特有的"死亡剪刀"如何被精确调控以避免误伤?特别是II型metacaspase作为调控型而非执行型的分子开关,其激活机制一直是未解之谜。
卡尔斯鲁厄理工学院分子细胞生物学研究所的Xin Zhu等研究人员在《Plant Cell Reports》发表的研究,以抗病野生葡萄Vitis rupestris的VrMC5为对象,揭开了微管骨架调控metacaspase活性的神秘面纱。研究团队创造性地发现,这种II型metacaspase能像被拴住的猎犬般结合在核周微管上,只有当病原信号引发钙流和微管解聚时,才会"挣脱锁链"通过自激活触发细胞死亡。这一发现不仅解释了植物如何精准控制"死亡开关",更为作物抗病育种提供了新靶点。
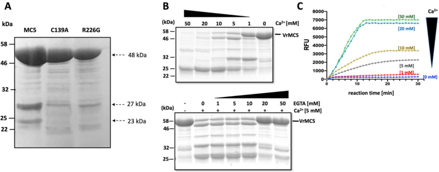
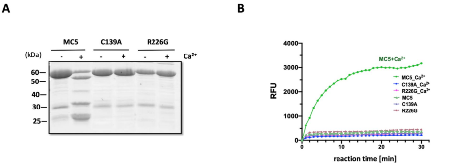
研究采用多学科交叉方法:通过农杆菌介导的烟草BY-2细胞稳定转化构建VrMC5-GFP及其C139A/R226G突变体表达系统;利用旋转盘共聚焦显微镜进行时空动态观察;采用EPC亲和层析分析微管结合特性;建立体外重组蛋白表达纯化体系结合荧光底物Boc-GRR-AMC开发钙依赖性酶活检测方法;通过Evans Blue染色定量细胞死亡率;应用qRT-PCR分析防御基因表达谱。
VrMC5装饰核周微管阵列
研究发现VrMC5-GFP在细胞周期不同阶段呈现动态定位:在G2/M期装饰早前期带微管(



微管解体是死亡触发前提
当用病原相关挥发物cis-3-hexenal处理时,微管在10分钟内迅速解聚(

自激活突变体揭示分子开关
通过位点定向突变构建的C139A和R226G变异体(



茉莉酸-SA通路拮抗调控
研究发现茉莉酸(JA)预处理可完全阻断cis-3-hexenal诱导的死亡(

这项研究建立了"微管-metacaspase-Ca2+"三位一体的防御调控模型:在静息态,VrMC5被微管束缚保持失活;当病原攻击时,钙信号和微管解聚共同促进其自激活,进而通过SA通路执行HR。该发现不仅阐明了植物特异性PCD的调控原理,更为理解细胞骨架在信号转导中的支架功能提供了范式。特别值得注意的是,VrMC5的人类MAP1B同源微管结合域的发现,暗示了植物与动物在死亡调控上可能存在深层次的趋同进化。这些认识为设计基于细胞骨架修饰的作物抗病策略开辟了新途径。
生物通微信公众号
知名企业招聘