
-
生物通官微
陪你抓住生命科技
跳动的脉搏
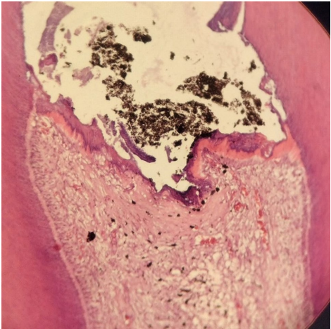
四种生物活性材料直接盖髓修复牙髓牙本质复合体的短期组织学评价:一项双盲随机交叉研究
【字体: 大 中 小 】 时间:2025年11月06日 来源:Scientific Reports 3.9
编辑推荐:
本研究针对直接盖髓(DPC)治疗中材料选择的难题,研究人员开展了四种生物活性材料(Neo MTA Plus、Neo Putty、TotalFill BC RRM Fast Set Putty和TotalFill BC RRM Paste)的短期组织学对比研究。通过双盲随机交叉设计,发现Neo MTA Plus组牙髓炎症强度(PII)最低,而Fast Set Putty组牙本质桥连续性(DBC)最佳。该研究为临床DPC材料选择提供了关键组织学依据,发表于《Scientific Reports》。





生物通微信公众号
知名企业招聘