
-
生物通官微
陪你抓住生命科技
跳动的脉搏
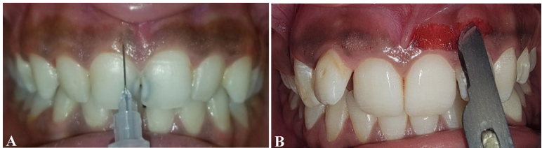
维生素C注射与手术刀牙龈褪色术的随机对照分口临床试验:一种微创美容牙科新策略
【字体: 大 中 小 】 时间:2025年10月02日 来源:BMC Research Notes 1.7
编辑推荐:
本研究针对牙龈色素沉着(GP)这一常见美学问题,比较了保守性注射维生素C与传统手术刀牙龈褪色术的疗效。通过随机对照分口设计,对20名患者进行为期6个月的随访,发现两种方法在长期褪色效果上无显著差异(P>0.05),但维生素C注射组疼痛和瘙痒感显著更低(P<0.05)。该研究为微创牙龈美容提供了新选择,特别适用于薄龈生物型患者。




生物通微信公众号
知名企业招聘