
-
生物通官微
陪你抓住生命科技
跳动的脉搏
癌症基因具有多重“人格”
【字体: 大 中 小 】 时间:2023年04月12日 来源:The Journal of Pathology
编辑推荐:
基因突变会导致某些疾病,如肝癌和结肠癌。但是这些肿瘤很难研究——即使相同的基因也会导致不同的人患不同的肿瘤。CSHL的研究人员已经设计出一种方法,通过针对同一致癌基因,在小鼠体内产生不同的肿瘤亚型。
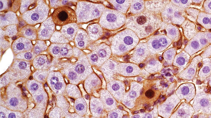
近距离观察小鼠肝脏;一种新的基因编辑策略,具有深色中心的细胞变成了癌细胞。
基因突变会导致严重的问题,比如结肠癌或肝癌。但是癌症非常复杂。相同基因的突变在不同的人身上会导致不同的肿瘤亚型。目前,科学家们还没有一个很好的方法来产生这样的肿瘤亚型,以便在实验室进行研究。现在,冷泉港实验室助理教授Semir Beyaz创建了一种新方法,使用基因编辑工具CRISPR-Cas9来模拟某些肝癌肿瘤亚型。
基因包含我们身体制造蛋白质所需的信息。由同一基因产生的高度相似的蛋白质称为同型蛋白。不同的亚型产生不同的肿瘤。这一过程被称为外显子跳跃,即基因的多个部分被缝合在一起,以产生不同版本的蛋白质。
Beyaz解释说:“每个人都认为癌症只是一种类型。但有了不同的亚型,你最终可能会得到具有不同特征的癌症亚型。”
Beyaz和他的同事们用CRISPR技术针对小鼠基因Ctnnb1的一个片段,产生了两种不同的肿瘤亚型。该工具主要用于抑制基因功能。这是CRISPR首次被用于在小鼠体内产生不同的致癌功能获得性突变。这些突变增强蛋白质活性,促进肿瘤生长。研究小组对每种肿瘤亚型进行了测序,以找出与他们观察到的差异相关的亚型。
Beyaz说:“我们能够定义与不同癌症亚型相关的那些亚型。对我们来说,这是一个惊人的发现。”
接下来,为了确认这些亚型确实导致了差异,他们在没有使用CRISPR的情况下在小鼠中产生了它们。他们发现,它们确实能够产生具有各自特征的两种不同肿瘤亚型。这两种肝脏肿瘤亚型也在人类中发现。
Beyaz瞄准的突变可能导致结肠癌和肝癌。靶向外显子跳过已经成为治疗癌症和其他疾病的一种潜在的治疗方法。Beyaz的新研究方法允许研究人员使用CRISPR在活小鼠细胞中研究这一现象。该平台有一天可以帮助研究人员开发新的治疗干预措施,我们想做的是找到最好的模型来研究癌症的生物学,这样我们就能找到治愈方法。”
CRISPR-induced exon skipping of β-catenin reveals tumorigenic mutants driving distinct subtypes of liver cancer
生物通微信公众号
知名企业招聘